Jak usunąć czarny osad na zębach i zapobiegać jego powstawaniu?

Czarny osad na zębach to ciemne plamy powstałe z bakterii i resztek pokarmu. W artykule dowiesz się, jakie są jego przyczyny i jak skutecznie go usuwać oraz zapobiegać jego powstawaniu.

Ilustracja przed-po: zęby z czarnym osadem i po oczyszczeniu; ikonki szczoteczki, nici, płynu i skalera
  • Czarny osad na zębach powstaje wskutek gromadzenia się bakterii, resztek pokarmowych i szkodliwych metabolitów, szczególnie w trudno dostępnych miejscach.
  • Regularna higiena jamy ustnej oraz unikanie czynników ryzyka, takich jak palenie tytoniu i spożywanie barwiących napojów, może skutecznie zapobiegać powstawaniu osadu.
  • Profesjonalne zabiegi stomatologiczne, takie jak skaling i piaskowanie, są kluczowe dla usuwania osadów oraz zapobiegania poważnym problemom zdrowotnym związanym z jamą ustną.

Czym jest czarny osad na zębach?

Czarny osad na zębach to ciemne przebarwienia, które mogą tworzyć się na ich powierzchni. Skład tej substancji obejmuje:

  • bakterie
  • metabolity
  • resztki pokarmowe
  • ślinę
  • komórki nabłonkowe

Jego właściwości mogą się różnić, ale początkowo osad jest zbliżony kolorem do szkliwa, a z czasem ciemnieje, przybierając kolor ciemnobrązowy.

Infografika: czarny osad na zębie oraz ikony bakterii, metabolitów, resztek pokarmowych, śliny i komórek nabłonkowych

Najczęściej czarny osad gromadzi się w miejscach trudnodostępnych do czyszczenia, takich jak przestrzenie międzyzębowe oraz okolice linii dziąseł. To właśnie te miejsca wymagają szczególnej uwagi podczas codziennej higieny jamy ustnej. Regularne szczotkowanie zębów i używanie nici dentystycznej może znacząco zmniejszyć ryzyko powstawania osadu na zębach.

Zrozumienie, czym jest czarny osad na zębach, to pierwszy krok do skutecznej walki z tym problemem. Teraz przejdźmy do przyczyn jego powstawania, aby lepiej zrozumieć, jak możemy zapobiegać jego występowaniu.

Przyczyny powstawania czarnego osadu na zębach

Jednym z głównych czynników przyczyniających się do powstawania czarnego osadu na zębach jest palenie tytoniu. Substancje smoliste zawarte w dymie papierosowym przyczyniają się do powstawania ciemnych przebarwień na zębach. Jeśli jesteś palaczem, rzucenie palenia będzie jednym z najskuteczniejszych kroków w kierunku poprawy zdrowia Twojej jamy ustnej.

Innym istotnym czynnikiem jest spożywanie intensywnie barwiących napojów, takich jak kawa i herbata. Pigmenty zawarte w tych napojach mogą osadzać się na powierzchni zębów, prowadząc do powstawania ciemnych plam. Ograniczenie spożycia tych napojów lub picie ich przez słomkę może pomóc zmniejszyć ryzyko powstawania osadu.

Niewłaściwa higiena jamy ustnej również sprzyja gromadzeniu się osadów na zębach. Nieregularne mycie zębów, pomijanie nitkowania oraz brak płukania jamy ustnej prowadzą do gromadzenia się resztek pokarmowych i bakterii, które z czasem przekształcają się w czarny osad. Dlatego tak ważne jest, aby codziennie dbać o higienę jamy ustnej.

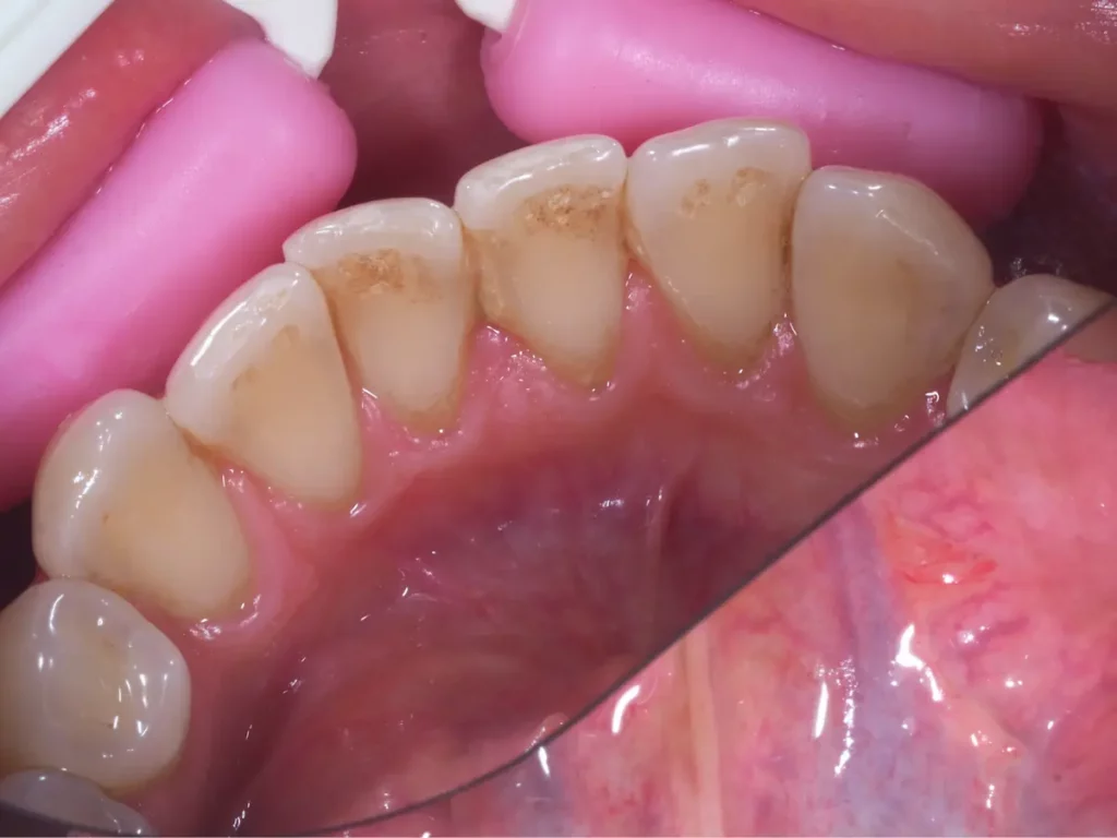
Czarny osad a kamień nazębny

Płytka nazębna to miękki, lepki osad, który formuje się na powierzchni zębów i jest łatwy do usunięcia podczas codziennego szczotkowania. Kiedy jednak płytką nazębną nie jest regularnie usuwana, zaczyna twardnieć i przekształca się w kamień nazębny, który wymaga interwencji higienistki stomatologicznej.

Zbliżenie dolnych zębów z brązowym osadem przy linii dziąseł przed zabiegiem higienizacji

Kamień nazębny gromadzi się głównie w miejscach, gdzie osad nazębny odkłada się w największych ilościach, takich jak przy linii dziąseł, w obrębie jamy ustnej. Proces ten jest przyspieszany przez nieodpowiednią higienę jamy ustnej, co może prowadzić do poważniejszych problemów zdrowotnych, takich jak zapalenie dziąseł i choroby przyzębia.

Usunięcie kamienia nazębnego wymaga specjalistycznych narzędzi dentystycznych, takich jak skaler czy kiret. Regularna higiena jamy ustnej i wizyty u dentysty są kluczowe, aby zapobiegać powstawaniu kamienia nazębnego i utrzymać zdrowie zębów.

Skutki czarnego osadu na zdrowie jamy ustnej

Czarny osad na zębach może prowadzić do rozwoju chorób przyzębia, co zagraża zdrowiu całej jamy ustnej. Bakterie gromadzące się w osadzie mogą prowadzić do infekcji i stanów zapalnych, które są nie tylko bolesne, ale również trudne do leczenia.

Infografika: ząb z czarnym osadem i ikony choroby przyzębia, infekcji, bólu, próchnicy i nadwrażliwości

Zaniedbanie czarnego osadu może skutkować bólem zębów oraz dyskomfortem podczas jedzenia. Erozja szkliwa spowodowana przez osad może prowadzić do dalszych problemów z zębami, takich jak nadwrażliwość i próchnica.

Regularne wizyty u dentysty są niezbędne do wczesnego wykrywania problemów zdrowotnych i utrzymania świeżego oddechu przez eliminację bakterii i osadów. Dzięki nim możemy cieszyć się zdrowymi i pięknymi zębami przez długie lata.

Domowe sposoby na usunięcie czarnego osadu

Zbliżenie uśmiechniętej pacjentki; dentysta narzędziem kontroluje czystość i szkliwo zębów

Domowe metody na usunięcie czarnego osadu obejmują przede wszystkim dokładne szczotkowanie zębów, nitkowanie oraz używanie płukanek i wybielających past, które jednak nie są zalecane ze względu na ścieranie szkliwa. Codzienna higiena jamy ustnej jest kluczowa w walce z osadem.

Domowe metody na usunięcie czarnego osadu obejmują przede wszystkim:

  • dokładne szczotkowanie zębów
  • nitkowanie
  • używanie płukanek
  • stosowanie wybielających past ( niezalecane)

Codzienna higiena jamy ustnej jest kluczowa w walce z osadem.

Szczoteczka do zębów oraz nić dentystyczna są niezbędnymi narzędziami do usuwania osadu z zębów. Regularne szczotkowanie zębów dwa razy dziennie oraz nitkowanie przestrzeni międzyzębowych pomagają utrzymać zęby w czystości i zapobiegają powstawaniu osadów.

Czarno-biała ilustracja dwóch zębów pokrytych i otoczonych ciemnym osadem bakteryjnym

Niektórzy stosują mieszankę sody oczyszczonej z olejem kokosowym lub węgiel aktywny jako pastę do zębów. Choć te metody mogą być skuteczne celem usunięcia osadów, należy pamiętać, że mogą one również niszczyć szkliwo i nie są zalecane przez dentystów.

Profesjonalne zabiegi usuwania czarnego osadu

Higienistka stomatologiczna w różowym uniformie wykonuje skaling zębów pacjenta w gabinecie

Piaskowanie zębów to zabieg polegający na oczyszczaniu powierzchni zębów strumieniem wody i proszku, co skutkuje usunięciem płytki nazębnej i przebarwień. Jest to skuteczna metoda na przywrócenie zębom naturalnej bieli.

Skaling usuwa zarówno płytkę nazębną, jak i kamień nazębny, sięgając pod linię dziąseł. Skaling ultradźwiękowy wykorzystuje wibrującą końcówkę, która przyspiesza usuwanie kamienia, zwłaszcza z trudno dostępnych miejsc.

Po skalingu często zaleca się struganie korzeni, które dodatkowo oczyszcza korzenie zębów. Regularne profesjonalne zabiegi stomatologiczne są kluczowe dla utrzymania zdrowia jamy ustnej i zapobiegania dalszym osadom.

Profilaktyka czarnego osadu na zębach

Aby zapobiegać powstawaniu czarnego osadu na zębach, należy regularnie szczotkować zęby, nitkować oraz używać pasty z fluorem. Dokładne szczotkowanie dwa razy dziennie oraz stosowanie płynów do płukania jamy ustnej ograniczają akumulację płytki nazębnej.

Unikanie palenia tytoniu jest istotnym krokiem w profilaktyce osadów, gdyż dym tytoniowy przyczynia się do ich powstawania. Właściwe nawyki żywieniowe, w tym ograniczenie spożycia cukrów, mogą wpłynąć na zmniejszenie ryzyka osadów na zębach.

Zastosowanie oleju kokosowego w metodzie oil pulling może wspierać zdrowie jamy ustnej, redukując płytkę nazębną. Zarówno skaling, jak i piaskowanie zębów są kluczowymi procedurami w profilaktyce chorób jamy ustnej.

Osad na zębach u dzieci

Przyjmowanie niektórych leków, takich jak antybiotyki z grupy tetracyklin, może prowadzić do przebarwień na zębach dzieci. Czarne zęby u dzieci mogą również powstawać na skutek urazów, które prowadzą do martwicy zęba.

Zastosowanie amalgamatu w wypełnieniach dentystycznych może skutkować czernieniem zębów, chociaż obecnie u dzieci używane są bardziej estetyczne materiały. Alternatywą dla amalgamatu jest użycie nowoczesnych, estetycznych materiałów, które nie powodują takich problemów.

Czarne zęby mogą być również efektem lapisowania, zabiegu polegającego na pokrywaniu zęba azotanem srebra, co może prowadzić do ciemnienia zębów. Alternatywą dla lapisowania jest ozonowanie, które może pomóc w bardzo wczesnym stadium próchnicy.

Znaczenie diety dla zdrowia zębów

Ilustracja: uśmiechnięta kobieta i ikony szczoteczki, jabłka, zęba i kalendarza – higiena, dieta, wizyty

Dieta ma kluczowe znaczenie dla zdrowia zębów. Ograniczenie cukrów i przetworzonej żywności oraz zwiększenie spożycia warzyw i owoców wpływa korzystnie na zdrowie jamy ustnej i zmniejsza ryzyko powstawania osadów.

Spożywanie produktów mlecznych, takich jak mleko i twardy ser, pozytywnie wpływa na zdrowie zębów i pomaga w redukcji tworzenia się płytki nazębnej. Produkty te zawierają wapń, który jest niezbędny dla utrzymania mocnych i zdrowych zębów.

Picie dużych ilości wody może pomóc w wypłukiwaniu resztek pokarmowych i bakterii, co wpływa pozytywnie na zdrowie zębów. Ślina pomaga neutralizować kwasy produkowane przez bakterie w jamie ustnej i jest kluczowa dla utrzymania zdrowia jamy ustnej.

Regularne wizyty u dentysty

klinika stomatologiczna dobry dentysta

Regularne wizyty u dentysty są kluczowe w zapobieganiu odkładaniu się kamienia nazębnego oraz w utrzymaniu zdrowia zębów. Dzięki systematycznym przeglądom stomatologicznym, możliwe jest wczesne wykrywanie problemów, które mogą prowadzić do poważniejszych schorzeń. Zaleca się odwiedzanie dentysty co najmniej raz na pół roku, aby skutecznie zapobiegać osadom.

Podczas takich wizyt dentysta może przeprowadzić skaling, fluoryzację oraz inne zabiegi profilaktyczne, które pomagają chronić zęby przed osadami i próchnicą. Skaling usuwa nagromadzoną płytkę nazębną i kamień nazębny, co jest niezbędne do utrzymania zdrowia jamy ustnej.

Regularne wizyty u dentysty to również doskonała okazja, aby uzyskać cenne wskazówki dotyczące codziennej higieny jamy ustnej. Dentysta może doradzić, jakie produkty do higieny jamy ustnej będą dla Ciebie najlepsze oraz jak prawidłowo dbać o zęby na co dzień. Dzięki temu będziesz mógł cieszyć się zdrowymi i pięknymi zębami przez długie lata.

Czarny osad na zębach. Podsumowanie

Podsumowując, czarny osad na zębach to problem, który może wpływać na estetykę i zdrowie jamy ustnej. Ważne jest, aby znać przyczyny jego powstawania oraz skuteczne metody usuwania. Regularne szczotkowanie, nitkowanie oraz wizyty u dentysty są kluczowe w zapobieganiu osadom i utrzymaniu zdrowia zębów.

zdrowe zeby zdrowe zycie

Dbanie o zdrowie jamy ustnej to inwestycja w siebie. Pamiętaj, że zdrowe zęby to nie tylko piękny uśmiech, ale również ogólne dobre samopoczucie. Regularne wizyty u dentysty, prawidłowa higiena jamy ustnej i zdrowa dieta mogą przynieść długotrwałe korzyści. Dbaj o swoje zęby, a one odwdzięczą się Ci zdrowym i promiennym uśmiechem.

Czarny oda na zębach. Najczęściej zadawane pytania (FAQ)

Czym dokładnie jest czarny osad na zębach?

Czarny osad na zębach to ciemne przebarwienia, będące mieszaniną bakterii, metabolitów, resztek pokarmowych, śliny oraz komórek nabłonkowych. To zjawisko wymaga odpowiedniej higieny jamy ustnej i konsultacji ze specjalistą.

Jakie są główne przyczyny powstawania czarnego osadu na zębach?

Główne przyczyny powstawania czarnego osadu na zębach to palenie tytoniu, spożywanie mocno barwiących napojów, takich jak kawa i herbata, oraz niewłaściwa higiena jamy ustnej. Zaleca się regularne dbanie o higienę oraz ograniczenie tych czynników, aby zapobiec osadom.

Jak mogę usunąć czarny osad na zębach w domu?

Aby skutecznie usunąć czarny osad na zębach w domu, należy regularnie szczotkować zęby, nitkować oraz stosować płukanki i wybielające pasty. Dodatkowo, istnieje możliwość użycia mieszanek sody oczyszczonej z olejem kokosowym, mimo że nie jest to zalecane przez dentystów.

Czy czarny osad na zębach może prowadzić do problemów zdrowotnych?

Czarny osad na zębach może prowadzić do poważnych problemów zdrowotnych, takich jak choroby przyzębia, infekcje oraz erozja szkliwa. Warto zatem zwrócić na to uwagę i podjąć odpowiednie kroki w celu jego usunięcia.

Jakie profesjonalne zabiegi są dostępne, aby usunąć czarny osad na zębach?

Profesjonalne zabiegi dostępne w celu usunięcia czarnego osadu na zębach to piaskowanie, skaling, w tym skaling ultradźwiękowy, oraz polerowanie. Warto skonsultować się z dentystą, aby wybrać odpowiednią metodę.

5/5 - (150 votes)
lek. dent. Wojciech Skocz

Ukończyłem Wydział Lekarsko-Dentystyczny na Śląskim Uniwersytecie Medycznym, będąc nagradzanym stypendium Rektora za osiągnięcia naukowe. Podczas studiów byłem aktywnym członkiem Studenckiego Towarzystwa Naukowego przy Katedrze Dysfunkcji Narządu Żucia oraz Polskiego Towarzystwa Studentów ... Czytaj więcej

Podziel się:

Podobne wpisy

Dodaj komentarz

Twój adres e-mail nie zostanie opublikowany. Wymagane pola są oznaczone *