Zgorzel zęba – przyczyny, objawy i skuteczne metody leczenia
Zgorzel zęba to groźna infekcja miazgi, która powoduje silny ból i może prowadzić do poważnych komplikacji zdrowotnych. Jeśli odczuwasz intensywny ból zęba lub zauważysz obrzęk i zmianę jego koloru, niezwłocznie skonsultuj się z dentystą. W tym artykule dowiesz się, co to jest zgorzel zęba, jakie są jej objawy, przyczyny oraz skuteczne metody leczenia.

- Zgorzel zęba jest poważnym stanem wynikającym z martwicy miazgi spowodowanej działaniem bakterii, co prowadzi do silnego bólu i potencjalnych powikłań zdrowotnych.
- Główne przyczyny zgorzeli zęba to niewłaściwa higiena jamy ustnej oraz dieta bogata w cukry, co sprzyja rozwojowi próchnicy i stanu zapalnego miazgi.
- Leczenie zgorzeli zęba wymaga profesjonalnej interwencji stomatologicznej, a zapobieganie jej wystąpieniu zależy od regularnych wizyt u dentysty i dbałości o higienę jamy ustnej.
Co to jest zgorzel zęba?
Zgorzel zęba da to poważna dolegliwość, która wynika z zaniedbania higieny jamy ustnej. W skrócie, jest to stan, w którym dochodzi do martwicy miazgi zęba w komorze zęba z powodu działania bakterii beztlenowych. Powstanie zgorzeli zęba może być spowodowane stanem nieodwracalnego zapalenia miazgi.

W wyniku infekcji, miazga zęba obumiera, co prowadzi do obrzęku i martwicy tej tkanki. To proces, który nie tylko wywołuje silny ból, ale również może prowadzić do poważnych komplikacji zdrowotnych, takich jak zapalenie okostnej czy nawet sepsa, jeśli nie zostanie odpowiednio wyleczony.
Dlatego tak ważne jest, aby natychmiast zgłosić się do stomatologa, jeśli zauważymy pierwsze objawy zgorzeli zęba. Leczenie zgorzeli zęba wymaga szybkiej i profesjonalnej interwencji, aby zapobiec dalszym komplikacjom.
Przyczyny zgorzeli zęba
Główne przyczyny zgorzeli zęba to niewłaściwa higiena jamy ustnej oraz dieta bogata w cukry, co prowadzi do powstania ubytków. Niewłaściwa dbałość o higienę jamy ustnej sprzyja rozwojowi próchnicy, co jest kluczowym czynnikiem prowadzącym do zgorzeli zęba.

Dieta bogata w węglowodany może przyspieszać procesy próchnicotwórcze, co zwiększa ryzyko zgorzeli. Zaniedbana próchnica potrafi spowodować stan zapalny miazgi zęba, co kładzie podwaliny pod zgorzel. To właśnie w takich warunkach bakterie beztlenowe mają idealne środowisko do rozwoju, co prowadzi do poważnych infekcji, w tym zapalenia okostnej.
Dodatkowym czynnikiem ryzyka jest unikanie wizyt u stomatologa, co prowadzi do opóźnienia w leczeniu problemów dentystycznych. Regularne kontrole u dentysty mogą pomóc w wykryciu problemów na wczesnym etapie, zanim dojdzie do poważnych komplikacji.
Objawy zgorzeli zęba
Objawy zgorzeli zęba najczęściej nie występują, ale jak już się pojawią to są dość charakterystyczne i trudno je przeoczyć. Oto niektóre z nich:

- Silny ból, który może być pulsujący, jest jednym z głównych objawów zgorzeli zęba.
- Ból ten często nasila się w nocy.
- Może promieniować na całą szczękę, co znacząco utrudnia normalne funkcjonowanie.
Obrzęk wokół zęba, który prowadzi do zaczerwienienia dziąsła oraz powoduje dyskomfort, to kolejny objaw. Nieleczona zgorzel zęba może powodować nieprzyjemny zapach z ust, zwłaszcza w przypadku otwartej postaci infekcji. Zmiana koloru zęba może wystąpić jako objaw zgorzeli zęba, co jest wynikiem martwicy miazgi.
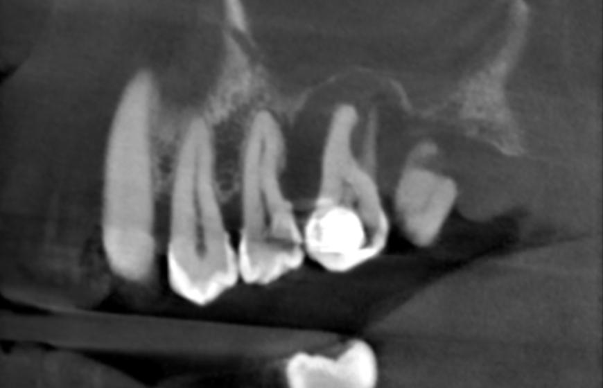
Diagnostyka zgorzeli zęba
Diagnostyka zgorzeli zęba opiera się na badaniu klinicznym oraz zdjęciach RTG. RTG umożliwia dentystom ocenę stanu miazgi oraz tkanek otaczających ząb. Na zdjęciu RTG lekarz może zidentyfikować zmiany w strukturze kości wokół korzenia zęba, co wskazuje na infekcję.

Tomografia komputerowa czyli badanie CBCT 3D mogą być stosowane w diagnostyce zgorzeli zęba, aby uzyskać lepszy obraz tkanek. Regularne kontrole RTG są ważne dla monitorowania postępu leczenia zgorzeli zęba. Dokładna diagnostyka zgorzeli zęba pozwala na precyzyjne określenie stopnia zaawansowania infekcji.
Leczenie zgorzeli zęba
Leczenie zgorzeli zęba jest procesem wymagającym profesjonalnej interwencji. Są dwie drogi leczenia – leczenie kanałowe lub usunięcie zęba. Leczenie kanałowe polega na usunięciu chorej miazgi i wypełnieniu kanałów specjalnym materiałem. Antybiotyki są często nadużywane w leczeniu zgorzeli zęba w celu zwalczenia infekcji, ponieważ działają wyłącznie na objaw a nie przyczynę. Najlepiej zgłosić się do dentysty aby wykonał tak zwaną pierwszą pomoc endodontyczną, co całkowicie zniweluje ból i unikniemy niepotrzebnego przyjmowania antybiotyku.

W niektórych przypadkach, jeśli stan zęba jest poważny, może być konieczne przeprowadzenie zabiegu chirurgicznego. Leczenie zgorzeli zęba u dzieci często wymaga usunięcia zakażonej miazgi oraz wypełnienia kanałów korzeniowych. W trakcie leczenia zgorzeli zęba ważne jest również monitorowanie stanu zdrowia pacjenta oraz przestrzeganie zaleceń stomatologicznych.
Zgorzel zęba mlecznego u dzieci
Martwica miazgi w zębach mlecznych wymaga szybkiej interwencji stomatologa. Zaniedbana próchnica może prowadzić do powstania zgorzeli zęba. Zgorzel zęba mlecznego zagraża zdrowiu dziecka oraz wpływa na rozwój uzębienia stałego.
Leczenie zgorzeli zęba mlecznego obejmuje leczenie zęba, usunięcie miazgi, usunięciu zainfekowanej miazgi, wypełnienie kanałów, a czasami usunięcie zęba. Wczesne wykrywanie i leczenie problemów stomatologicznych jest kluczowe dla dzieci.
Powikłania zgorzeli zęba
Nieleczona zgorzel zęba może prowadzić do poważnych powikłań zdrowotnych, takich jak ropnie, zapalenie okostnej, czy nawet sepsa. Ignorowanie zgorzeli zęba może prowadzić do poważnych problemów zdrowotnych, takich jak rozprzestrzenienie się infekcji.
Pojawienie się ropnia w okolicy zainfekowanego zęba może objawiać się jako bolesny guzek w obrębie dziąsła. Zgorzel zęba mlecznego może prowadzić do poważnych komplikacji zdrowotnych, zagrażając rozwojowi zębów stałych i życiu. Nieleczona zgorzel zęba prowadzi często do konieczności usunięcia zęba.
Czy można leczyć zgorzel zęba w domu?
Domowe metody, takie jak płukanie solą, mogą tylko tymczasowo zmniejszyć ból związany ze zgorzelą zęba. Płukanie solą lub woda utlenioną mogą jedynie przynieść tymczasową ulgę w bólu, ale nie są skuteczne w leczeniu zgorzeli zęba.
W przypadku zaawansowanej zgorzeli, konieczne jest leczenie kanałowe lub usunięcie zęba, które wymaga interwencji dentystycznej. Samodzielne leczenie zgorzeli zęba w domu jest niewskazane, a zalecane jest jak najszybsze skonsultowanie się z dentystą.
Jak zapobiegać zgorzeli zęba?
Edukacja na temat higieny jamy ustnej jest istotna w zapobieganiu zgorzeli zęba. Regularne wizyty u stomatologa i monitorowanie stanu zdrowia jamy ustnej są kluczowe w zapobieganiu zgorzeli zęba.

Przestrzeganie zaleceń dentystycznych oraz dbanie o higienę jamy ustnej, w tym regularne szczotkowanie zębów i unikanie spożywania cukrów, są kluczowe dla zapobiegania nawrotom infekcji.
Co robić po wyleczeniu zgorzeli zęba?
Monitorowanie stanu zdrowia jamie ustnej obejmuje przestrzeganie zaleceń stomatologa oraz regularne wizyty higienizacyjne i kontrolne. Dbałość o higienę jamy ustnej, w tym regularne szczotkowanie zębów oraz unikanie spożywania cukrów, jest kluczowa dla zapobiegania nawrotom infekcji.
Monitorowanie stanu zdrowia jamy ustnej obejmuje:
- Przestrzeganie zaleceń stomatologa.
- Regularne wizyty kontrolne.
- Dbałość o higienę jamy ustnej, w tym regularne szczotkowanie zębów.
- Unikanie spożywania cukrów.
Jest to kluczowe dla zapobiegania nawrotom infekcji.
Proces gojenia po wyleczeniu zgorzeli zęba trwa od kilku dni do kilku tygodni.
Czy zgorzel zęba to poważny problem?
Zgorzel zęba to poważny problem, który może prowadzić do poważnych komplikacji zdrowotnych, jeśli nie zostanie odpowiednio leczony. Ważne jest, aby natychmiast zgłosić się do stomatologa, jeśli zauważymy pierwsze objawy zgorzeli zęba.
Dbając o higienę jamy ustnej i regularnie odwiedzając stomatologa, możemy zapobiec zgorzeli zęba i utrzymać zdrowie naszych zębów na długie lata. Pamiętaj, że zdrowie jamy ustnej to klucz do ogólnego zdrowia i dobrego samopoczucia.
Zgorzel zęba i najczęściej zadawane pytania

Co to jest zgorzel zęba?
Zgorzel zęba to stan, w którym miazga zęba umiera wskutek infekcji bakteryjnej, co może prowadzić do poważnych problemów zdrowotnych. Ważne jest, aby jak najszybciej skonsultować się z dentystą.
Jakie są główne przyczyny zgorzeli zęba?
Główne przyczyny zgorzeli zęba to niewłaściwa higiena jamy ustnej, dieta bogata w cukry oraz ignorowanie wizyt u stomatologa. Regularna opieka dentystyczna i zdrowa dieta mogą znacząco zmniejszyć ryzyko.
Jakie są objawy zgorzeli zęba?
Silny pulsujący ból, obrzęk i zaczerwienienie dziąsła, nieprzyjemny zapach z ust oraz zmiana koloru zęba to główne objawy zgorzeli zęba. Jeśli je zauważysz, skonsultuj się z dentystą.
Czy zgorzel zęba można leczyć w domu?
Zgorzel zęba wymaga profesjonalnej interwencji dentystycznej, ponieważ domowe metody mogą jedynie przynieść tymczasową ulgę. Nie należy lekceważyć tego problemu i jak najszybciej udać się do lekarza.
Jak zapobiegać zgorzeli zęba?
Aby zapobiegać zgorzeli zęba, kluczowe jest przestrzeganie higieny jamy ustnej poprzez regularne szczotkowanie zębów oraz unikanie nadmiernej konsumpcji cukrów, a także regularne wizyty u dentysty. To proste działania, które mogą znacząco wpłynąć na zdrowie Twoich zębów.
Ukończyłem Wydział Lekarsko-Dentystyczny na Śląskim Uniwersytecie Medycznym, będąc nagradzanym stypendium Rektora za osiągnięcia naukowe. Podczas studiów byłem aktywnym członkiem Studenckiego Towarzystwa Naukowego przy Katedrze Dysfunkcji Narządu Żucia oraz Polskiego Towarzystwa Studentów ... Czytaj więcej
